Çində insanı düşündürən hadisə baş verib. 60 yaşında olduğu deyilən adı açıqlanmayan qadının beyni; Mətbəxdə adi bir səhv nəticəsində onu parazit qurdlar bürümüşdü. Yüksək hərarəti və huşunu itirən qadın az qala öləcəkdi.
Çində yaşayan 60 yaşlı qadın; O, üç gündür davam edən yüksək hərarət və ağır huşunu itirmə şikayətləri ilə xəstəxanaya müraciət edib. Qadın o qədər pis vəziyyətdə idi ki, nə danışır, nə də ətrafdakıların dediklərini başa düşür.
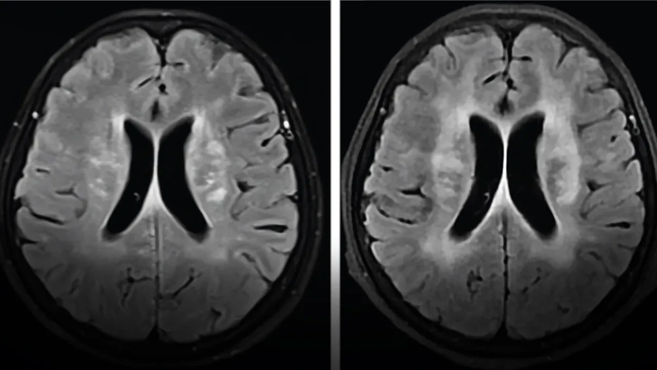
Həkimlər əvvəlcə meningit şübhəsi ilə hərəkətə keçiblər. Müayinələr nəticəsində onun beynində çoxlu zədələr aşkarlanıb ki, bu da yoluxma ehtimalını gücləndirib. Lakin iki həftəlik antibiotik müalicəsinə baxmayaraq, xəstənin səhhətinin vəziyyəti getdikcə pisləşib.
Həkimlərin sonrakı testləri qadının immun sisteminin parazitar infeksiyaya işarə edən anormal səviyyədə eozinofillər (ağ qan hüceyrələri) istehsal etdiyini aşkar etdi.
Əlavə müayinədən sonra xəstənin simptomlar başlamazdan əvvəl şirin su xərçəngi istehlak etdiyi müəyyən edilib. Bu, həkimləri Angiostrongylus cantonensis adlı təhlükəli parazit qurd növünə gətirib çıxardı.
Bu parazit zəif bişmiş dəniz məhsullarından ötürülür və beyində yerləşərək eozinofilik menenjitə səbəb ola bilər. Bu nadir xəstəlik parazitlərin yaratdığı ensefalit kimi tanınır.
Xəstəyə dərhal antiparazitar dərman verildi. Xəstə iki həftə ərzində danışıq qabiliyyətini bərpa etdi və səhhəti sürətlə yaxşılaşdı. Dörd aydan sonra nəzarətlər göstərdi ki, beyindəki zədələr əhəmiyyətli dərəcədə azalıb və xəstə demək olar ki, tamamilə sağalıb.
Mənbə: HurriYet
